Who we are
A Team of Professionals, Passionate About New Technologies & Progress Led by Prof. Dr. Serdar Baki Albayrak
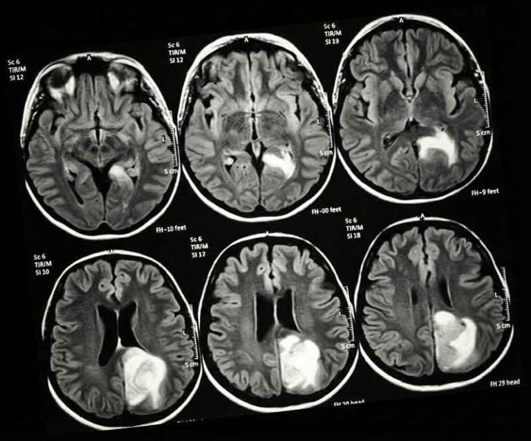
Malignant gliomas and Glioblastoma Multiforme (GBM) represent some of the most complex challenges in modern oncology. Fighting these aggressive tumors requires more than standard care; it demands a fusion of advanced microsurgical techniques and personalized immunotherapy.
Our team leverages the international neurosurgical expertise of Prof. Dr. Serdar Baki Albayrak, integrating pioneering research in Natural Killer (NK) cell-based therapy directly into patient care. By focusing on maximal safe resection and tumor-immunized autologous NK cells, we offer a bridge between the operating room and the latest innovations in translational medicine.
Expertise in complex neurosurgery and academic leadership
Satisfied customers through patient-centered care
What we do
Comprehensive Treatment Strategies & Advanced Immunotherapy for Malignant Gliomas
We provide a specialized approach to brain tumor management by integrating advanced neurosurgery with cutting-edge medical research. With 27+ years of experience, our focus is on providing patients with both standard multimodal treatments and innovative, personalized experimental therapies.
Surgery is the first and most critical step in managing malignant astrocytoma and GBM. We utilize intraoperative neurophysiological monitoring and advanced microsurgical techniques to achieve maximal safe resection while preserving neurological function.
We specialize in tumor-immunized autologous NK cell therapy, a pioneering approach that activates a patient’s own immune system to target tumor cells. This personalized immunotherapy represents a significant step forward in overcoming the immunosuppressive nature of gliomas.
Our treatment plans integrate radiotherapy, chemotherapy, and Tumor Treating Fields to provide a comprehensive defense against recurrent disease. We prioritize patient-centered care, ensuring that quality of life and supportive treatments are central to the recovery process.
Why work with us
We Provide a Complex Modern Approach & Long-Lasting Results in Glioma Care
Choosing the right medical team is vital when facing a diagnosis as life-altering as Glioblastoma (GBM). Our approach combines 27+ years of clinical experience with pioneering translational research to provide a level of care that goes beyond standard protocols. We focus on achieving the best possible quality of life through a synergy of advanced microsurgery and personalized immunotherapy.
- World-Class Specialists
- Cutting-Edge Innovations
- Complex Surgical Solutions
- Personalized Treatment Plans
- Integrated Patient Support
- Evidence-Based Excellence


START YOUR RECOVERY TODAY
Join Thousands of Patients Who Trust Prof. Dr. Serdar Baki Albayrak for Advanced Neurosurgery and Personalized Care!
What Do Our Patients Say?
Gregory Brown
Patient Family
Sarah Jenkins
Verified Patient
Alexander Bright
Patient
Michael Torres
International Patient
Emily Chen
Verified Patient
From the blog
Latest News & Insights
Book an Appointment!
Got Questions? Book an Appointment!
Get expert advice on Glioblastoma (GBM) diagnosis and treatment processes. We stand by you with all the possibilities of modern medicine.
Call us: Mon – Fri 9:00 – 19:00
Teşvikiye Mah. Hakkı Yeten Cad. No: 11 İç Kapı No: 2 Şişli/ İSTANBUL
Drop us a line anytime!
Online Appointment
Got questions about Glioblastoma treatments or NK Cell Therapy? Fill out the form below, and our specialist team will contact you to schedule your appointment.






